Ученые РФ выделили еще 20 «чистых» штаммов лактобактерий для молочного производства (Крестьянские ведомости)
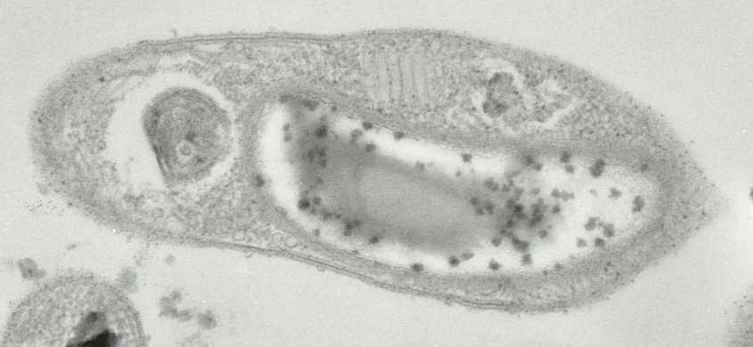
Микробиологи Томского госуниверситета (ТГУ) выделили еще 20 новых штаммов лактобактерий без устойчивости к антибиотикам для производства кисломолочной продукции и передали промпартнеру, в общей сумме их уже 40. Также ученые обнаружили бактерию из рода клостридий, которая портит сыр, сообщили ТАСС в …
